casos indicados
Alinhador pode tratar tudo?
As indicações para o uso de alinhadores ortodônticos são vastas e podem ser aplicadas em diversas má oclusões e situações clínicas.
O tratamento com alinhadores oferece uma alternativa eficiente, discreta e confortável em relação aos aparelhos tradicionais, mas é importante compreender as limitações e as necessidades específicas de cada caso.
Um caso difícil tratado com alinhador, continua sendo desafiador.
Maloclusões
Cada tipo de má oclusão é solucionada de forma diferente com os alinhadores, precisando de diferentes recursos adicionais, técnicas de movimentação e preocupações com camuflagens.
Iremos falar muito sobre previsibilidade no documento, alta ou baixa previsibilidade influencia nossa conduta clínica em calibrar expectativas do paciente quanto a** assertividade do tempo de tratamento, escolha do plano de tratamento e** regularizar intervalo entre as consultas
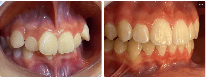
Fechamento de diastemas
Os diastemas apresentam etiologias variadas, como discrepâncias no tamanho dentário, ausência de dentes e hábitos deletérios. O uso de alinhadores para fechamento desses espaços é uma indicação bem comum, mas devemos ficar atentos a alguns detalhes.
No caso de discrepância de Bolton, implica em realizar desgastes na arcada antagonista ou complemento de prótese para garantir uma engrenagem ideal.
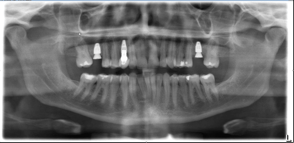
Casos que envolvem fechamento de espaços de elementos ausentes possuem baixa previsibilidade de ser tratado com alinhadores pois pode ocorrer inclinação de coroa do elemento e muitas vezes a raiz não acompanha, além de ser necessário utilização de estratégias como elásticos e mini implantes.
Fechamentos de diastemas entre centrais superiores podem precisar ser acompanhados de uma frenectomia, para estabilidade do resultado
Tratamentos que envolvem fechamento de diastemas precisam de attachments para controle radicular dos movimentos se forem necessários movimentos de raiz.

Mordida Cruzada
Correções desse tipo de maloclusão é mais previsível quando associada a inclinação, quando é necessaria movimento de corpo afim de vestibularizar o dente, a previsibilidade cai, precisamos de attachments e a chance de retração aumenta.
Descruzar mordida em regiões de extremos livres são mais imprevisíveis devido à falta de ancoragem na região, provavelmente attachments serão associados.
Casos que envolvem correção de mordida cruzada, são longos e podem precisar de mecânicas elásticas para melhor previsibilidade dos movimentos.
Casos de mordida de Brodie muito provavelmente precisaram de um plano ez 24
Casos que necessitam de expansão para descruzar a mordida, utilizamos a técnica de estagiamento “butterfly”. Você pode entender mais sobre nossas técnicas de estagiamento em Padrões de movimentação com os alinhadores .
Quando a correção da mordida cruzada envolve mais retração de um arco do que expansão, reflita sobre como o espaço sera obtido, desgastes, distalização sequencial ?

Mordida aberta anterior:
Quando é favoravel ao perfil do paciente, planejamos uma extrusão e retroinclinação dos dentes anteriores, junto de uma intrusão dos dentes posteriores, esse ultimo ocasiona em uma rotação da mandíbula para obtenção desse resultado.
Tratamentos que envolvem correção de mordida aberta são longos e geralmente é necessário uso de mecânicas elásticas e attachments, e geralmente nos dentes anteriores.
Movimentos de extrusão são de baixa previsibilidade com alinhadores, e em casos de perda de tracking podem ser utilizadas técnicas como “bootstrap”, para auxiliar na recuperação de tracking.

Mordida profunda:
Mordida profunda é um caso difícil mas possível de ser solucionado com alinhador, a solução desse tratamento pode ser relacionada com intrusão inferior ou superior, algo a ser determinado pela posição dos centrais superiores (Indicado na foto de repouso, confira nosso documento de Análise estética).
A intrusão tem uma previsibilidade baixa para a movimentação do alinhador, depende da instalação de muitos attachments para ancoragem e realização de uma movimentação estagiada para melhor resultado, dividindo movimentos entre caninos e incisivos por exemplo (Padrões de movimentação com os alinhadores)
O movimento de intrusão é bem comum de ter um resultado aquém do planejado virtualmente, considere refinamentos.

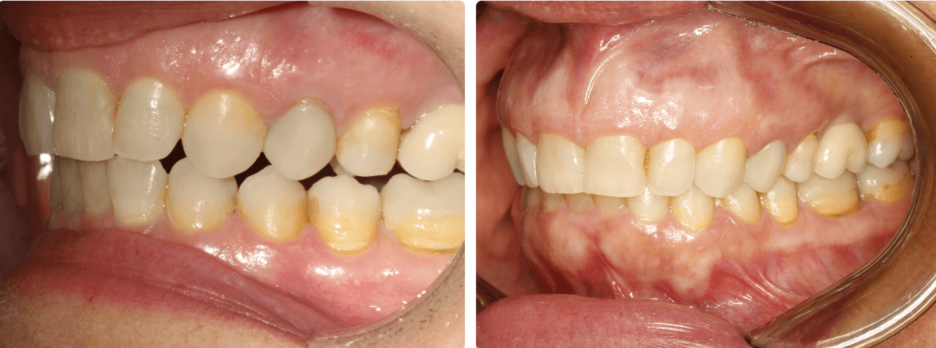
Correções de classe:
A correção de classe com alinhadores pode ser feita através de uma distalização sequencial ou por mesialização sequencial (Você pode conhecer um pouco sobre essas movimentações em Padrões de movimentação com os alinhadores) . Sempre é necessário mecânicas elásticas para tratamentos que envolvem correções de classe.
O uso do elástico pode acontecer com botões colados no dente ou com elásticos diretos no alinhador, depende da características de movimentação do canino principalmente
Tratamentos que envolvem correção de classe são tratamentos longos e que exigem cooperação do paciente pelo uso dos elásticos, o que deve ser conversado antes do início do tratamento. Casos de correção de meio dente ou mais ( no sentido anteroposterior) são indicações para Plano ez24
O alinhador pode fazer compensação de Classe II e Classe III esquelética, mas não substitui ortopedia ou cirurgia.
Durante a distalização/mesialização, é possível notar abertura de alguns diastemas na arcada do paciente, isso é um bom sinal que a distalização esta acontecendo como deveria, é normal isso aumentar a retenção dos alimentos.

Para casos orto-cirúrgico recomendamos que leia nosso documento sobre integração Ortognática - Alinhador:
Recidivas Pós-Ortodontia:
Pacientes que tiveram tratamento ortodôntico no passado e experimentaram movimentação dentária subsequente podem usar os alinhadores para realinhar seus dentes.
O não uso de contenções após a finalização de um tratamento ortodôntico implica na não finalização do processo de deposição óssea relacionado ao movimento dentário, geralmente é um processo que demora até 90 dias para acontecer. Você pode entender um pouco sobre nossa recomendação de finalização em Contenção
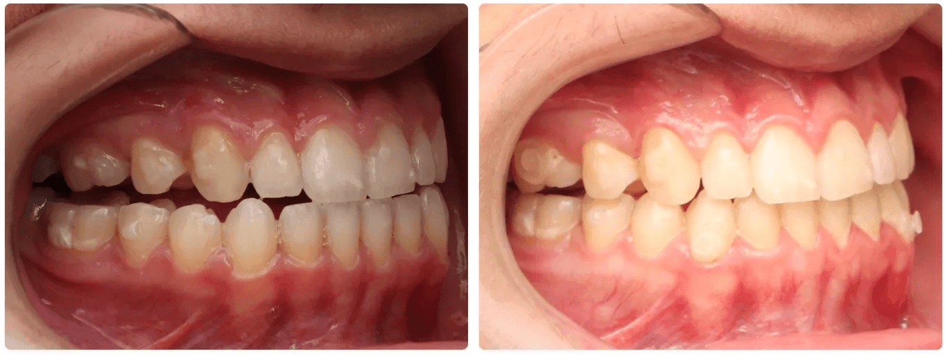
Alinhamento e Nivelamento:
Pacientes que buscam uma solução esteticamente agradável para alinhar seus dentes podem preferir alinhadores devido à sua natureza discreta e transparente.
Em pacientes com arcadas estreitas, pode-se criar espaço com expansão e reduzir corredores bucais.
No quesito de nivelamento tenha em mente que para realizar extrusão, sempre será necessário o uso de attachments.
Em casos de apinhamento é sempre interessante pensar aonde será aberto o espaço para conseguir desapinhar os dentes. Existem 5 formas de obter espaço e todas tem condições de aplicação:
Projeção Anterior
Depende de como está o perfil do paciente, precisamos analisar de acordo com o foto extraoral do paciente e inclinação dos incisivos.
Expansão do Arco
Temos de analisar a presença de retrações, a presença de corredor bucal na foto de sorriso e o longo eixo dos elementos posteriores.
Desgastes Interproximais
O desgaste interproximal deve obedecer a proporção de bolton, e a espessura apropriada do dente.
Distalização (sequencial para alinhadores)
Tem relação com a classe e engrenagem do paciente, não é muito indicado fazer uma distalização em ambos os arcos, porque o elástico (vital para correção antero-posterior) se torna contra-indicado.
Extrações
Existem opções de extrações de pré-molares e de incisivos, é recomendado uma analise cefalométrica e um estudo de análise de bolton (que frequentemente é feito no planejamento) para determinar a real necessidade de extrações. Casos com extrações normalmente caem no plano ez24

Contraindicações
Lembre-se, é necessário uma boca saudável antes de um tratamento ortodôntico.
Doença Periodontal Ativa:
Pacientes com doenças gengivais avançadas podem não ser candidatos ideais para alinhadores, pois a movimentação dentária pode agravar a condição.
O tratamento ortodôntico em pacientes com doença periodontal deve ser realizado com muito critério e cuidado, sendo contraindicado o tratamento ortodôntico em pacientes com doença periodontal ativa.

Perda Óssea Significativa:
A perda óssea ao redor dos dentes pode comprometer a capacidade do alinhador de mover os dentes de forma eficaz e segura.
A movimentação ortodôntica pode exacerbar essa mobilidade, o que aumenta o risco de complicações como a perda do dente ou uma piora da condição da gengiva.



Falta de Comprometimento com o Tratamento:
Pacientes que não estão dispostos ou são incapazes de usar os alinhadores pelo tempo recomendado diariamente podem não obter os resultados desejados.
Os alinhadores ortodônticos exigem que o paciente utilize de maneira constante, geralmente entre 20 a 22 horas diárias para que as forças aplicadas sejam eficientes, conforme demonstra nosso documento Frequência de troca dos alinhadores .
O tratamento com alinhadores exige que o paciente colabore ativamente no processo, não apenas o uso adequado, mas também comparecer as consultas, ser ativo na detecção de problemas com o alinhador.
Pacientes infantis na “fase patinho feio”:
A fase do patinho feio é um período natural do desenvolvimento dentário, pode ocorrer dos 7 aos 12 anos de idade, na dentição mista existe a presença de espaços favoráveis para a erupção dos dentes permanentes. O fechamento prematuro desses espaços pode comprometer o processo de erupção e o desenvolvimento ósseo, levando a problemas futuros de oclusão e alinhamento dentário.
Durante essa fase, é essencial monitorar o crescimento e a erupção dos dentes permanentes, evitando intervenções desnecessárias que possam interferir no processo natural.


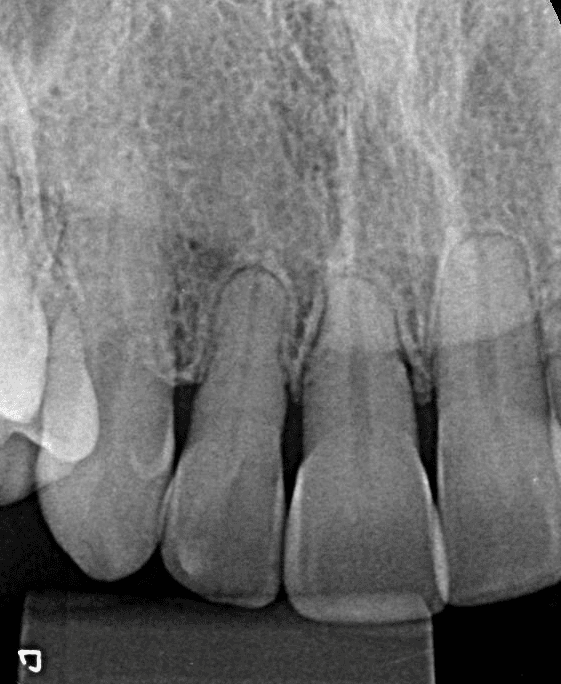
Achados radiográficos radilúcidos:
Achados radiolúcidos em radiografias podem ser indicativos de várias condições que afetam a saúde bucal e precisam ser considerados e avaliados antes de realizar movimentações ortodônticas. Alguns achados mais comuns são:
Cáries: Devem ser tratadas antes do início do tratamento ortodôntico, para evitar complicações, uma vez que a progressão da cárie pode afetar a estrutura dentária e saúde periodontal.

Lesões periapicais: Devem ser tratadas adequadamente com endodontia antes do início da ortodontia e acompanhamento radiográfico.

Cistos: A presença de cistos pode interferir os movimento ortodônticos e a saúde bucal em geral. O tratamento ortodôntico pode ser contraindicado até que a condição seja resolvida, geralmente com cirurgia ou outros tratamentos médicos.
Tratamentos ortopédicos:
A ortopedia trata problemas relacionados ao crescimento e desenvolvimento dos ossos da face e mandíbula, e envolve a correção de maloclusões esqueléticas, que são disfunções relacionadas à posição e ao desenvolvimento das estruturas ósseas faciais. Os alinhadores ortodônticos são uma excelente ferramenta para o movimento dental, mas não tratam ortopedia.
Em adolescentes, é essencial um diagnóstico preciso para determinar a necessidade de intervenção ortopédica, especialmente durante os surtos de crescimento. Esses surtos variam entre pacientes do sexo masculino e feminino:
Pacientes do sexo feminino tendem a ter seu pico de crescimento entre 10 e 12 anos.
Pacientes do sexo masculino geralmente apresentam o pico entre 12 e 14 anos.
Durante essas fases, o crescimento ósseo é acelerado, e intervenções ortopédicas, como o uso de aparelhos funcionais ou expansores, podem ser mais eficazes para corrigir desarmonias esqueléticas

Situações marginais
São casos que podem ser realizados mas que a previsibilidade do resultado é questionável. Cabe uma análise individual para acusar tratabilidade ou não, múltiplos recursos adicionais podem ser adicionados para melhorar a previsibilidade do resultado
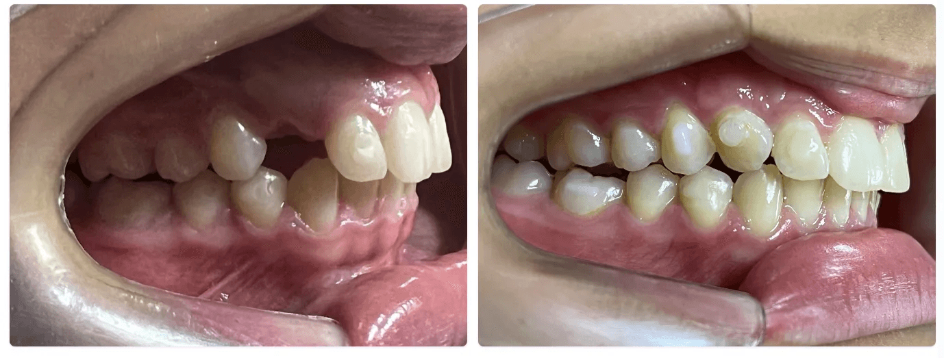
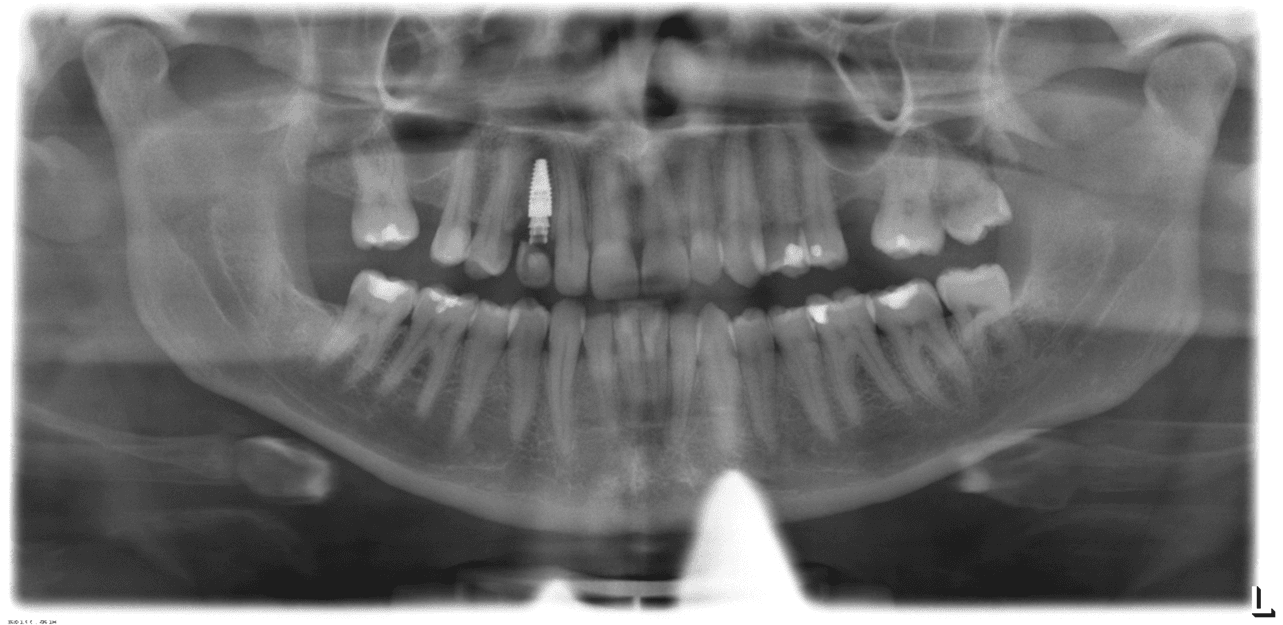
Tracionamento Dentário:
Requer forças mais significativas e direcionadas que os alinhadores sozinhos podem não ser capazes de fornecer sozinhos, com isso, se faz necessário uso de mecânicas auxiliares.
Pode ser feito mas requer um ortodontista experiente para saber direcionar corretamente a movimentação e acessar o dente.
O eixo de saída do dente é muito importante, assim como idade do paciente.


Verticalização de Raízes:
É um movimento que requer muita força, geralmente relacionada a utilização de attachments, elásticos, power arms e mini implantes. Quanto maior a raiz do dente e menos ancoragem o alinhador tiver relacionado aquela área, mais imprevisível o resultado.
Verticalização de molares só tem alguma previsibilidade se for associado a distalização, o que geralmente envolve um planejamento de abrir espaço para implantes e não de tentar fechar esse espaço.


Dentes com inclinação maior que 30º mesmo utilizando mecânicas elásticas não possui previsibilidade.

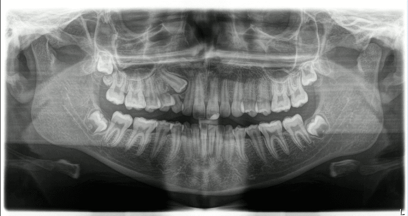
Movimentações em terceiros molares:
Em alguns casos, os terceiros molares precisam ser extraídos antes do início do tratamento, principalmente quando se trata de pacientes com grande apinhamento e falta de espaço e/ou correções de classe.
Alinhadores são muito eficazes para mover dentes que têm raízes e coronas bem posicionadas, mas o controle de movimentos em dentes do fundo da boca, como os terceiros molares, é mais difícil. Isso porque a força precisa ser muito mais precisa, e muitas vezes, os terceiros molares não estão totalmente erupcionados ou são impactados e o alinhador não consegue abraçar a coroa desses elementos.
Tem duvidas de como solicitar? Abaixo um documento informativo para primeiros casos: