exames!
Essa é uma coletânea com os problemas mais comuns que podem gerar algum tipo de retrabalho no processo de solicitação e confecção dos alinhadores.
Você pode visualizar os arquivos de escaneamento do seu paciente instalando o visualizador de arquivos 3D disponibilizado em:
https://drive.google.com/file/d/1k5UjE8NCMNoAjzIbr7KqSJA7ieV7CJVg/edit
Aqui são abordados detalhes principalmente preocupações referentes a exames e conduções técnicas.
Se voce não conhece confira nosso protocolo de exames abaixo, Antes de ler o resto do artigo.
No quesito de indicação, diagnostico e apresentação do tratamento, vale assistir a aula abaixo:
Indíce:
Desvio de Mordida
Caso o paciente tenha uma interferência oclusal que faça ele desviar a mordida ao realizar a oclusão, ele pode desenvolver uma resposta articular/muscular que torne isso quase imperceptível.
Acontece que durante a movimentação ortodôntica, com os frequentes escaneamento da Metodologia pit-stop esse desvio mandibular pode aparecer e complicar o tratamento.
Portanto em uma avaliação inicial, avalie sobre possíveis interferências oclusais, faça uma manipulação do paciente. É interessante desconfiar principalmente em:
Desvio de linha média interdentária, entre boca aberta e fechada;
Mordida de topo anterior;
Mordida cruzada;
Desvio mandibular na face, entre boca aberta e fechada;
Caso algum desvio for constatado, é necessário fazer um escaneamento desse paciente sem essa interferência presente. O cenário mais confiável (principalmente se você for encaminhar para uma clínica radiológica) é realizar um JIG e registros de mordida para que o escaneamento seja feito em RC.
Nesse escaneamento os modelos não irão ter toque, não tem problema! Nós iremos realizar o fechamento da mordida no articulador virtual que utilizamos no nosso programa.
Confira mais informações (inclusive sobre como realizar o JIG de forma simplificada) no nosso documento de padrões para exames abaixo ⬇️
https://drive.google.com/file/d/1-yD-W2LK4tQCBGjtw8VAJkGgMBmQ753U/edit
Aparelho fixo → Alinhador
Se deseja trocar o aparelho fixo para alinhador, o escaneamento nunca deve ser feito com aparelho fixo instalado. Fios e brackets interferem na anatomia dos elementos e essas falhas não podem ser fechadas virtualmente com precisão. Podendo ocasionar em má adaptação dos alinhadores.

Em muitos cenários o escaner não consegue nem copiar a anatomia em volta do aparelho por conta da reflexão da luz do metal, além do fio ficar como um “fantasma”, prejudicando a manipulação do arquivo 3d.

Contenção higiênica
Podemos remover contenções fixas inferiores através da nossa manipulação dos modelos 3d.
Porém as contenções higiênicas interferem bastante anatomia dos elementos, e mesmo removendo virtualmente a adaptação da placa pode ser prejudicada, que por sua vez, diminui a eficácia da movimentação dos elementos.
O recomendado é sempre remover as contenções antes de realizar o escaneamento.

Escaneamento sem contenção

Escaneamento com contenção removida virtualmente
Quanto maior a precisão da cópia do nosso escaner maior será a acurácia da movimentação planejada.
Remoção de calculo dental
Pelo mesmo motivo da dica anterior, é recomendado fazer uma remoção de calculo antes de realizar o escaneamento. Ele prejudica adaptação do alinhador nas ameias o que faz, zona de extrema importância para possibilitar movimentos de angulação e rotação.

Modelos de gesso
O gesso vazado, muitas vezes, apresenta uma superfície muito irregular, o que dificulta a captura precisa das informações. Além disso, especialmente se a moldagem for realizada com alguma falha ou imperfeição, podem não proporcionar os detalhes necessários para o escaneamento adequado.


Distal do segundo molar superior
Essa região é muito comum de apresentar uma dificuldade para conseguir uma copia exata. Isso acontece por conta da falta de espaço para chegar com a cabeça do escaner nessa região.
Porém, a cópia completa da anatomia desse elemento, faz muita diferença em correção antero-posteriores aonde precisamos movimentar os molares. Muitas vezes precisamos pedir para o dentista/clínica de exame repetir o escaneamento.

Falha de “Costura”
O escaner funciona tirando varias fotos da boca e vai “costurando” uma com a outra, formando uma imagem 3D, como se estivesse tecendo uma malha de tecido, tanto que é muito comum usar o termo “Malha” para se referir a um escaneamento 3D.
É muito comum você ter um defeito nessa junção da malha vestibular e lingual nas incisais Bateria Labial (tanto superior quanto inferior), esse defeito também conhecido como “falha de costura”.
Apesar de parecer um defeito pequeno ele pode prejudicar a adaptação do alinhador fatalmente por um lado da boca não ter alinhamento com o outro.

Medir espaços interproximais
Os scanners intraorais podem ter dificuldade em detectar espaços interproximais menores que 0,3 mm devido a limitações na resolução e a presença de saliva.
É importante ter esses espaços mapeados para previnir que a finalização do tratamento tenha diastemas ou que sejam requisitados desgastes interproximais desnecessários.
Recomendamos que esses espaços sejam medidos com um calibrador de espaços e informado na requisição do caso.

existem diastemas entre o 46/45/44 mas o scanner tende a ver tudo como um só.
Fazer fotos sem distorções
Você sabia que a uma foto tirada do paciente com o celular pode ter distorções?
No processo do planejamento as fotos extra-orais são vitais para fazer a correta Análise estética e realizar o alinhamento do modelo 3D no software de planejamento.
Confira o vídeo que fizemos sobre os detalhes importantes quando for realizar fotografias.
https://www.instagram.com/p/DA3HpS5saj8/
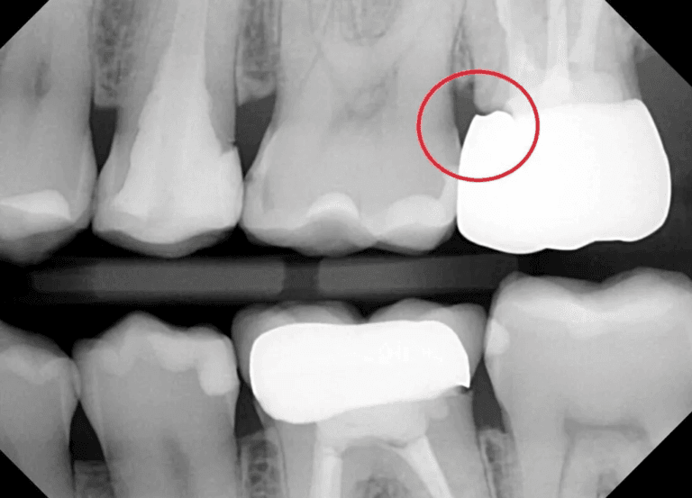
Avaliar restaurações desadaptadas.
Durante um tratamento alinhadores, as placas vão ser colocadas e removidas milhares de vezes, o que não costuma ser um problema para próteses realizadas adequadamente. Mas em pacientes que tenham qualquer tipo de restauração que não tenha adaptação e forma apropriada, a força do alinhador pode remove-la.

Se acontecer, geralmente não é um problema, apenas colar denovo. So tome cuidado para colar na mesma posição, se ela não estiver na posição correta o alinhador não vai encaixar.
Remoção/Troca de Attachments/Botões
Não é necessário remover os acessórios instalados em fases anteriores do paciente para realizar um novo escaneamento. Se no novo planejamento for necessário alguma alteração, iremos informar no relatório de tratamento a necessidade dessa mudança clínica.

Você pode entender um pouco mais sobre nosso padrão de exames: