instalação do alinhador
Os attachments devem ser colados na primeira consulta e só removidos quando o tratamento acabar, a menos que tenha uma instrução especial nas observações.
Para dentes girovertidos, aconselhamos fazer o desgaste apenas com tira de lixa (evitar discos).
O encaixe do alinhador deve ser realizado começando pelos dentes anteriores. Em seguida, para os dentes posteriores, faça o encaixe deslizando o alinhador na para a lingual dos molares, garantindo um eixo de inserção para toda a arcada.
No guia, estão apenas indicados os dentes que devem receber os attachments. A quantidade e forma dos attachments por dente é de acordo com a placa 0/AT.

Os desgastes devem ser iniciados na primeira consulta. Para desgaste acima de 0,3mm recomendamos fazer metade na primeira consulta, o restante em 50 dias.
Ensine o paciente a encaixar e remover o alinhador no consultório, sob sua supervisão, não dispense o paciente antes de ele ter conseguido colocar e remover o alinhador sozinho.
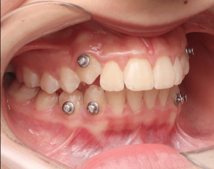
O local de instalação dos mini-implantes é apenas uma sugestão. É de total responsabilidade do Dentista a decisão clínica do melhor sítio de instalação.
Certifique-se com o paciente que ele tem ciência que nem sempre o box de alinhador que ele esta levando representa o final do tratamento, cheque no relatório de tratamento se existem alinhadores restantes.
Cuidados Clínicos nas consultas de Manutenção
Não recomendamos a realização de pressure points ou de quaisquer outras deformações na anatomia do alinhador.

Em casos de uso de mecânicas elásticas de giroversão recomendamos que os botões sejam removidos e reposicionados sempre que possível afim de obter o melhor braço de força possível.
Nas consultas de acompanhamento, verifique se existe a necessidade de romper os pontos de contato do seu paciente, um dos grandes vilões do tratamento com alinhador é a falta de espaço para movimentação.
Para mais informações , consulte o educaez e o Material de Apoio em nossa plataforma e tenha acessos aos nossos vídeos e documentos educativos.

Avisos (Inconvenientes que podem surgir e trazer problemas com sua relação com o paciente)
Danos por Manuseio Incorreto: Manusear os alinhadores de forma excessiva ou inadequada pode levar à sua deterioração precoce ou quebra. O paciente deve evitar remover e colocar o aparelho por razões desnecessárias.
Deslocamento de Próteses: Em alguns casos, principalmente em restaurações que não estejam ideais, podemos ter um desacoplamento do trabalho indireto, inclusive o afrouxamento de Próteses sob implantes.
Incômodo nos dentes : É comum sentir uma sensibilidade nos dentes após a colocação inicial de um novo alinhador, bem como a cada troca para um novo na série. Essa dor tende a durar 3 dias, relativo ao processo inflamatório, quanto menos o paciente usar o alinhador maior será incomodo.
Impacto na Fala: O uso inicial do alinhador pode alterar a fala por um período de tempo, o que normalmente se resolve em uma ou duas semanas, quanto mais usar, mais rápido se acostuma.
Desconforto em Tecidos Moles: O alinhador pode causar irritação ou desconforto temporário nas gengivas, bochechas ou lábios. Algumas pessoas dizem ter a sensação como se a boca estivesse cortada, é uma sensação temporária que normalmente se estabiliza com alguns dias.
Necessidade de Substituição de Acessórios: Acessórios adicionais utilizados com os alinhadores, como botões ou attachments, podem se soltar e requererem substituição. Assim como podem ser trocados durante o início de cada fase. Não é necessário remover os attachments ou botões para fazer o escaneamento da sequência.

Risco de Ingestão ou Inalação: Existe um risco potencial de que partes do aparelho ortodôntico possam ser inadvertidamente ingeridas ou inaladas, o que pode causar complicações.
Ajustes Pós-Tratamento: Após a conclusão do tratamento, é frequentemente necessário que o dentista faça ajustes finais na mordida, desgastando os dentes afim de obter uma oclusão mais estável, inclusive em dentes anteriores. Assim como é bem vindo o uso de discos de lixa, para melhor acabamento estético.
Ajustes de Formas: O alinhador apenas faz correções de posicionamento com dentes, é interessante ressaltar que para alguns casos o desejo estético do paciente não tem uma distinção clara entre o que seria um problema de posicionamento ou forma.
Recidivas e estabilidade do Resultado: Após o tratamento, existe uma tendência de movimentação dentária. O uso regular da contenção é imprescindível para a manutenção dos resultados alcançados no tratamento.
Alteração na salivação: Durante o uso do alinhador, alguns pacientes podem experimentar uma alteração temporária no fluxo salivar, manifestando-se como um aumento na produção de saliva ou, inversamente, uma sensação de boca seca. Com o uso prolongado a tendência é que isso diminua.
Redução Potencial do Comprimento das Raízes Dentárias: Durante o processo de tratamento ortodôntico, pode ocorrer uma redução no comprimento das raízes dentárias, o que, em alguns casos, pode impactar a durabilidade dos dentes ao longo do tempo. Com os alinhadores isso é mais incomum do que com uso de aparelhos fixos, mas seja por predisposição genética ou por duração do tratamento podemos ter essa consequência indesejada.
Possíveis Efeitos sobre a Articulação Temporomandibular: Embora seja raro, o tratamento ortodôntico pode, em alguns casos, influenciar a articulação temporo-mandibular e seus tecidos adjacentes, levando a sintomas como dor na articulação, cefaleia ou desconforto auricular.
Dentes Decíduos: Em casos aonde é feita movimentação em dentes de leite, podemos presenciar uma aceleração do processo de esfoliação.
Alterações na Mordida: Durante o tratamento, a mordida do paciente vai funcionar de forma diferente, podendo ter um único ponto de contato em determinados momentos, isso tende a melhorar a medida que se aproxima do fim do tratamento, sendo necessário ajustes oclusais em muitos.
Percepção Oclusal Posteriores: Ao colocar o alinhador na boca o paciente pode se questionar de sentir como se os dentes posteriores estivessem mais altos, isso é normal devido a Lei de Bonwill aonde aumentos posteriores resultam em um aumento maior da mordida pela proximidade da ATM. Essa sensação incomoda tende a diminuir ao longo do tempo.
Colagem de attachment e botão em coroas de porcelana:
Realizar a asperização da superfície, idealmente com jato de oxido de alumínio, mas também pode ser realizado o uso de brocas, o glaze (revestimento brilhoso das porcelanas) não sofre sensibilização e por isso precisa ser removido. Para realizar um protocolo adesivo em uma coroa de porcelana, precisamos seguir as seguintes etapas:
Uma coroa de porcelana maquiada, após a asperização, pode ter a cor modificada.
O aspecto brilhoso pode ser alcançado novamente, mediante o correto procedimento de polimento.
Condicionamento com ácido fluorídrico 10%. O tempo de aplicação vai depender de acordo com qual porcelana está sendo usada. Porém, como diretriz:
Disilicato de lítio: 20 segundos.
Cerâmica Feldspaticas (Coroas Estratificadas): 2 minutos.
Leucita: 40 segundos.
Tome muito cuidado na aplicação do ácido fluorídrico, ele pode danificar severamente a gengiva e o esmalte dentário. Faça a aplicação com um microbrush e realize um bom isolamento dos tecidos adjacentes.
Idealmente após a lavagem e secagem da área de aplicação, você verá uma coloração mais esbranquiçada. Em um ambiente bem seco, aplique silano e aplique uma corrente de ar de baixa intensidade por 20 segundos até que o solvente do silano esteja evaporado completamente e volte a ver essa área esbranquiçada.
Aplique adesivo no local, idealmente um adesivo puro como Scotch Bond 3 ou o Optibond FL, sopre com ar levemente para que ele se espalhe e forme uma camada homogênea. Após isto, polimerize.
Por último, leve o botão com um pouco de resina composta na base (nossa recomendação seria a Z100) e posicione no local adequado. Uma dica seria realizar essa etapa com o alinhador na boca para entender no recorte onde deveria ser posicionado, e realize a polimerização de acordo com o tempo apropriado para a resina escolhida.
IPR
Espessura média de esmalte em cada uma das proximais dos dentes. Lembre-se que esses são valores de média, avalie a radiografia do paciente para averiguar se já existem desgastes prévios. Kailasam V, Rangarajan H, Easwaran HN, Muthu MS. Proximal enamel thickness of the permanent teeth: A systematic review and meta-analysis. Am J Orthod Dentofacial Orthop. 2021 Dec;160(6).e3. doi: 10.1016/j.ajodo.2021.05.007. Epub 2021 Aug 19. PMID: 34420845.
| Dente | Mesial | Distal |
|---|---|---|
| Dente | Mesial | Distal |
| 11 | 0,81 - 0,98 | 0,81 - 1,1 |
| 12 | 0,72 - 0,93 | 0,73 - 1,02 |
| 13 | 0,86 - 1,42 | 0,86 - 1,67 |
| 14 | 1,13 - 1,48 | 1,25 - 1,54 |
| 15 | 1,1 - 1,41 | 1,16 - 1,36 |
| 16 | 1,34 - 1,37 | 1,41 - 1,48 |
| 17 | 1,27 - 1,42 | 1,3 - 1,43 |
| Dente | Mesial | Distal |
|---|---|---|
| Dente | Mesial | Distal |
| 41 | 0,64 - 0,76 | 0,60 - 0,88 |
| 42 | 0,64 - 0,76 | 0,60 - 0,88 |
| 43 | 0,78 - 1,28 | 1,01 - 1,3 |
| 44 | 0,99 - 1,41 | 1,05 - 1,51 |
| 45 | 1,15 - 1,38 | 1,21 - 1,8 |
| 46 | 1,26 - 1,46 | 1,4 - 1,47 |
| 47 | 1,41 - 1,44 | 1,41- 1,46 |
Dúvida sobre qual elástico utilizar no caso do seu paciente?